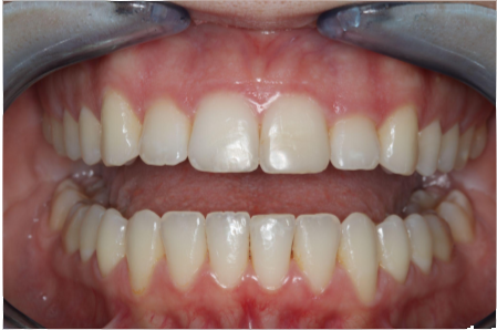
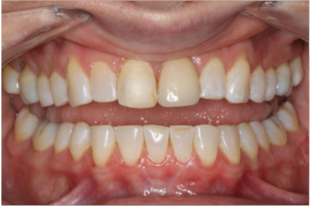
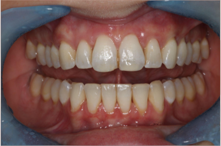
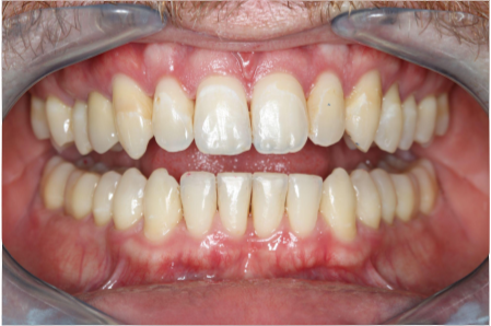
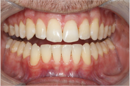
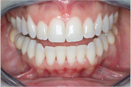
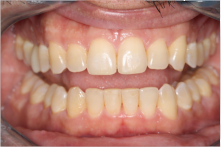
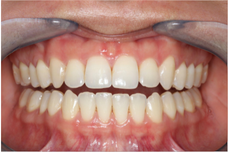
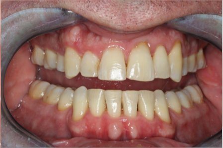
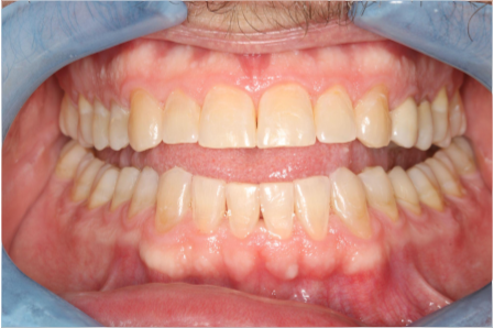
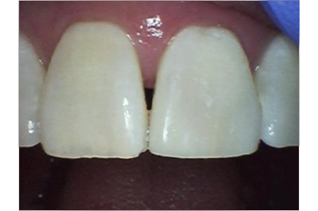
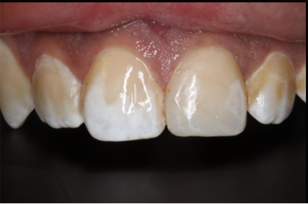
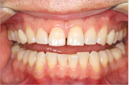
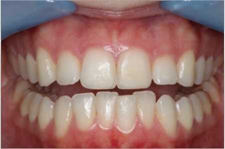
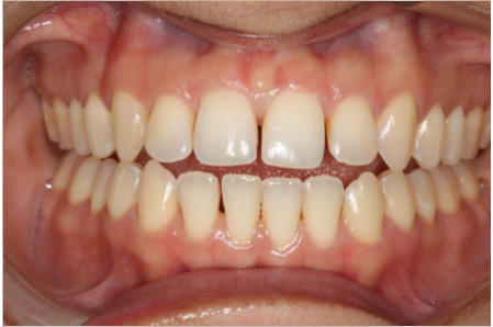
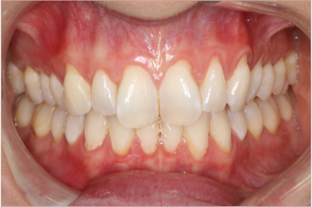
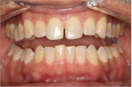
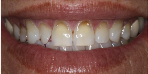
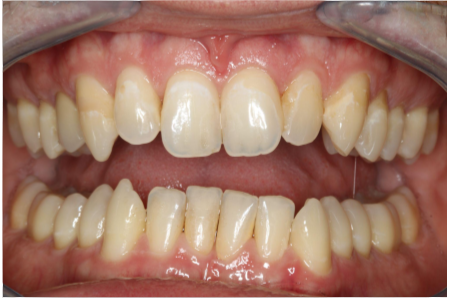
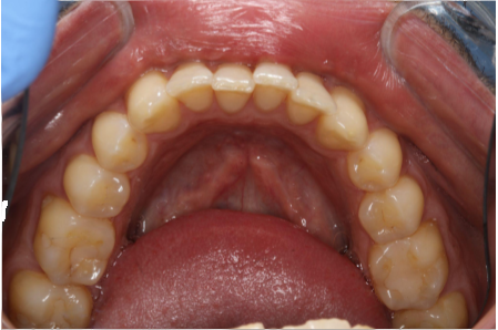
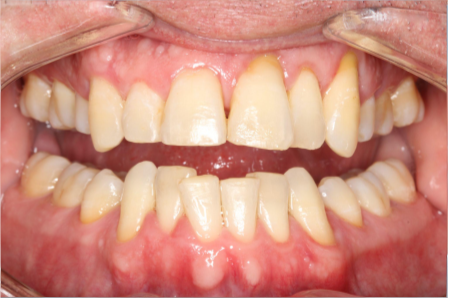
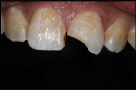
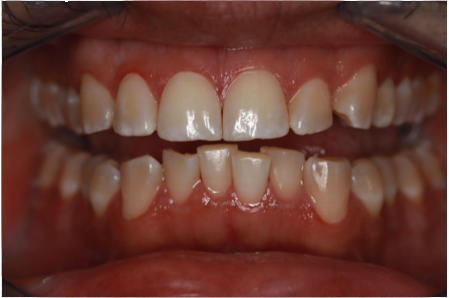
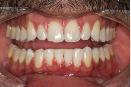
Before and After

















Esthetic fillings

























Phone: 408.735.7535
After-Hours & Weekend Emergency Line
Phone: 669.237.9973
©2026 Cherry Chase Dental. Designed and Managed by ViziSites. Terms of Use. Website Accessibility.
